1
歯並びのきれいな人の笑顔は周りにいる人たちにも、
さわやかな気分にさせてくれます。
以前は八重歯はかわいらしいと言われていましたが、
今そのような考えはなくこれからの国際社会で仕事をする上でも、
きれいな歯並びは必要です。

2 かみ合わせに異常があると
虫歯や、歯ぐきの病気の原因となり易く、
成長期の子供では顎の発育に影響を与えたりします。
また心理的な原因となる場合もあります。
心身ともに良好な成長を促すことが可能となります。

3 健康のために
現在日本は世界でも有数の長寿国。
8020運動(80歳になっても20本以上の歯を保つ)
を達成された方々のかみ合わせの調査では、
正しいかみ合わせを持った方々が
多かったという報告があります。
いつまでも自分の歯で美味しく食事をとることが健康の秘訣です。
4 大人でも治療できます
矯正治療は子供が受けるものと思っていませんか?
歯とはぐきが健康な状態であれば成人からでも
矯正治療は受けられます。
また顎が痛い・口を開けると音がする等の顎関節症を有する患者さんには
スプリント(プラスチックの板)を使用しながら治療を進める場合もあります。
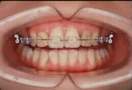
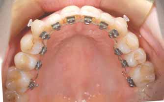
5 日常生活に支障有りません
矯正装置というと金属のぎらぎらしたものを
思い浮かべる方も多いと思います。
でも今は目立たない透明な装置もあるので心配いりません。

また、仕事の関係上見えては困ると考えておられる方には
歯の裏側に装置をつけて行う方法もありますのでご相談ください。
裏側からの治療について
詳しく知りたい方はこちらをクリックしてください。
| 最初へ戻る | 治療の開始まで | 歯並びの変化 | 小児矯正 | 成人矯正 |