小児矯正

矯正治療は最終的に大人の歯にブラケットを装着して上と下の全体的な歯並びを治療しますが、
歯並びの状態によっては子どもの歯だけの時に治療を開始する場合もあります。

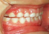
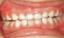
1.交叉咬合

顎が片側へずれています

治療前


上下の正中が一致していません
 

治療後


上下の正中は一致しました

上顎を内側から側方に拡げています


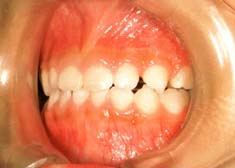
2.反対咬合
治療前
    

       
治療後
    

最初へ戻る 成人矯正 治療の前・後 裏側からの治療 横顔の変化