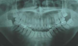
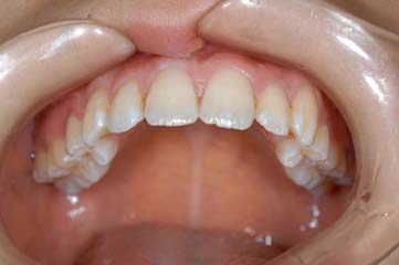
好ましくない歯並びとその治療後です。
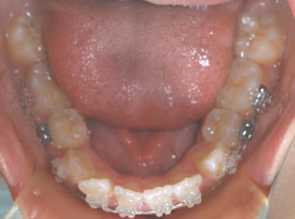
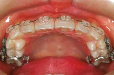
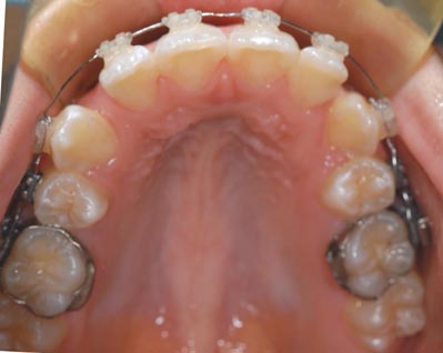
1.叢生(乱ぐい歯) 歯が重なり合ってでこぼこしています
治療前

上顎両側4番を抜歯

下顎両側4番も抜歯

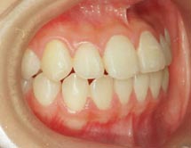
治療後

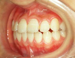
2.上顎前突(出っ歯) 上の前歯がかなり出ていています
治療前
治療後
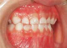
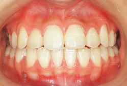
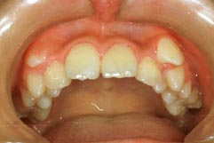
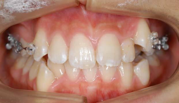
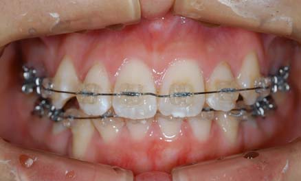
3.下顎前突(受け口) 下の歯が上の歯より出ています
治療前


上の八重歯が並んだ状態です
治療後


乳歯反対咬合(子どもの歯の受け口)
治療前
治療後
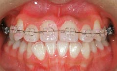
4.開咬(かいこう) 前歯で食べ物を咬めません
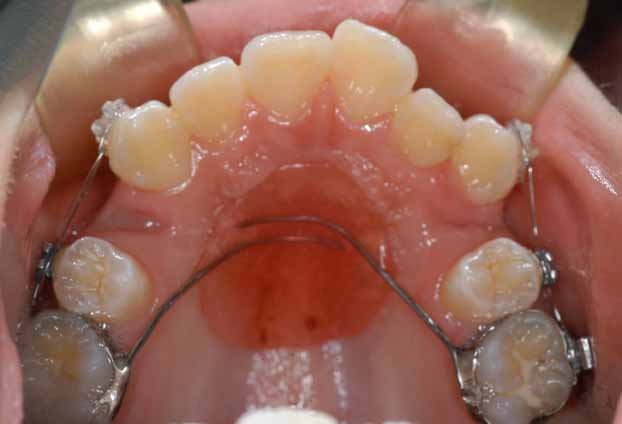
治療前



治療途中
上下の器具にゴムをかけて隙間を閉鎖します





治療後
上下顎の前突感改善のため第一小臼歯の抜歯を行い最終排列を行いました。


| 最初へ戻る | 小児矯正 | 成人矯正 | 裏側からの治療 | 横顔の変化 |